
Get The Best Deal On
All-Inclusive Invisalign
Only $3279*
Or
$89/Paycheck

(No credit check required)
*Includes a $600
Invisalign
New Patient Coupon



Welcome to Fresh Dental Edmonton
At Fresh Dental Edmonton, we go beyond fixing teeth—we redefine the way you experience dentistry.
Our patients enjoy care that’s advanced, comfortable, and designed for lasting results. With a 4.9-star Google rating and countless testimonials, we’re proud to be the area’s top choice for personalized, trusted dental care.

Meet Your Dentist,
Dr. Hussien Nsair
Dr. Hussien Nsair is a general dentist in Edmonton who has been practicing dentistry for more than 14 years. He earned a Bachelor of Biological Sciences degree from the University of Alberta in 2005. Following that, he attended the University of British Columbia in Vancouver where he graduated with a Doctor of Medical Dentistry degree in 2010. He is very proud to be serving the south Edmonton communities of Ellerslie and Summerside for the past decade.
Dr. Nsair places great emphasis on patient comfort and delivering quality dental care in a relaxing environment. He enjoys all aspects of family dentistry but is passionate about preventative and dentistry.
How Invisalign® Works
Consultation with
Custom Treatment Plan
Aligners You’ll Love to Wear
Regular Check-Ups
Smile with Confidence
What Invisalign Can Fix?
Crowded Teeth
Gaps and Spacing
Overbite
Underbite
Crossbite
Open Bite
Take the first step toward a straighter, healthier smile with Invisalign® at the House of Dentistry
Straighten Better, Finish Faster, and Pay Less!
Payment Options
Cash
Checks
Credit Cards
Flexible Financing Partners:


We participate with all major PPO's






Affordable Dental Care at Fresh Dental Edmonton
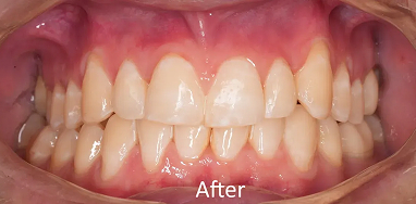
Our Smile Gallery
Before & After







